


冠玉口腔門診部|專注口腔健康15年始于2008·專業品質保障經衛生部門批準設立的口腔綜合診療機構,集臨床、預防、科研于一體,以*標準打造*醫療服務。核心優勢▌專業團隊15人*醫護團隊|8間獨立標準化診室|1對1專屬診療服務▌*設備配備8臺進口綜合*臺,擁有:-三維影像CBCT系統-數字化種植導航儀-顯微根管*系統-激光*儀+超聲骨刀-萬級層流種植手術室(衛健委達標*)-德國Melag*系統(三次純水清洗流程)▌權威合作*品牌戰略合作伙伴:[諾貝爾Nobel][奧齒泰Osstem][登騰Dentium][3M原廠*機構][德國蓋氏生物材料][德國拉瓦LAVA全瓷系統][BPS吸附義齒系統]診療服……
查看更多Popular recommendation
News information
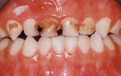
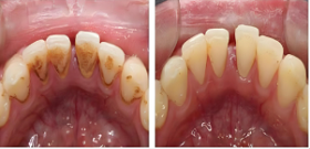
.?優先評估牙槽骨條件?:通過口腔CT檢查骨量,決定是否需要植骨?。 .?明確拔牙原因……
全瓷牙價格高主要因材料和工藝差異:其使用二氧化鋯等非金屬材料,透光性、生物相容性更……
全瓷牙價格高于烤瓷牙的核心原因一、材料成本差異?高端材料選擇?全瓷牙采用 ?二氧化……